[¾î±ú] ¾î±ú ´ë°áÀý °ß¿­ °ñÀý
ÀÛ¼ºÀÚ : °ü¸®ÀÚ 2013-03-01
÷ºÎÆÄÀÏ :

¼ºº° / ³ªÀÌ
¿©ÀÚ/ 40¼¼


ÁÖÁõ»ó
³Ñ¾îÁø ÈÄ Áö¼ÓµÇ´Â ¾î±úÀÇ ÅëÁõ


º´·Â
³Ñ¾îÁø ÈÄ ¸ñ°ú ¾î±úÀÇ ÅëÁõ°ú ÆÈÀ» µéÁö ¸øÇÏ´Â Áõ»óÀÌ ¹ß»ýÇÏ¿© Ÿº´¿ø¿¡¼­ ¸ñ ÀÚ±â°ø¸í °Ë»ç ÈÄ ¸ñ¿¡ ½Å°æ Â÷´Ü¼ú ÈÄ ¸ñÀÇ ÅëÁõÀº ¾à°£ ÁÙ¾îµé¾úÀ¸³ª ¾î±úÀÇ ÅëÁõÀÌ °è¼ÓµÇ°í ÆÈÀ» ¿Ã¸®Áö ¸øÇÏ¿© ³»¿ø


ÀÌÇÐÀû °Ë»ç


ÃÊÀ½ÆÄ °Ë»ç
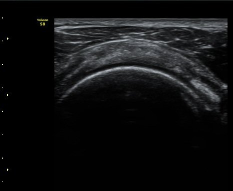
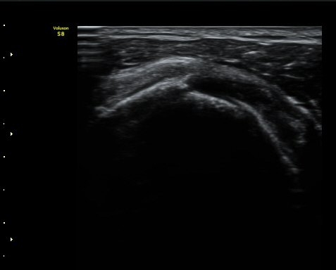
¾î±ú ¾Õ À̵ιڱ٠Ⱦ´Ü¸é°Ë»ç¿¡¼­ ÀÌºÎ¹Ú±Ù°Ç °í¶û ¾Æ·¡ ºÎÀ§¿¡¼­ À̵ιڱ٠ÀåµÎ ÁÖÀ§¿¡

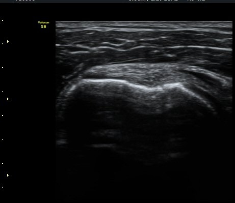
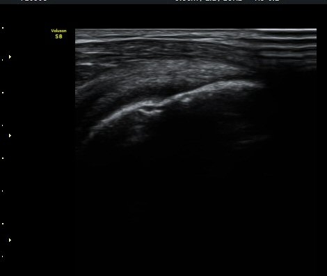
¼ö¾×Àú·ù°¡ °üÂûµÈ´Ù(±×¸² 1, 2). °ß°©ÇÏ±Ù°Ç Á¾´Ü¸é°Ë»ç¿¡¼­ °ß°©ÇϱٰÇÀÇ °üÀý³»ºÎÀ§(±×¸² 3)

¿Í ¼Ò°áÀý »óºÎ(±×¸² 4)¿¡¼­ ƯÀÌ ¼Ò°ßÀ» º¸ÀÌÁö ¾Ê´Â´Ù.

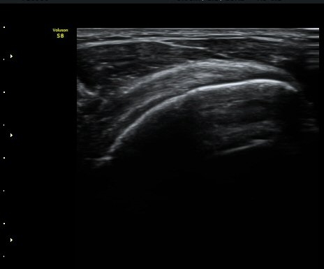
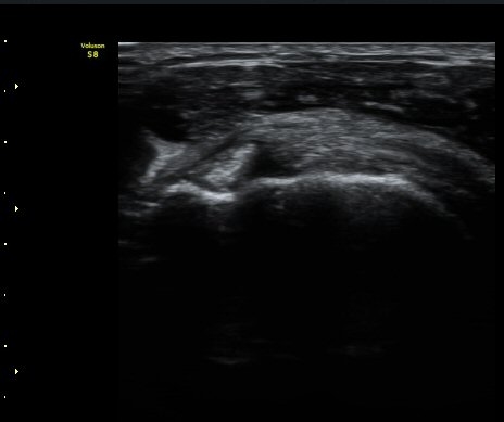
À­ÆÈÀ» ³»È¸Àü, ³»ÀüÇÑ »óÅ¿¡¼­ ±Ø»ó°Ç Á¾´Ü¸é°Ë»ç¿¡¼­ ±Ø»ó°Ç ³»Ãø¿¡¼­ ƯÀÌ ¼Ò°ßÀ» º¸ÀÌÁö

¾ÊÀ¸³ª(±×¸² 5) ±Ø»ó°Ç ¿ÜÃø¿¡¼­ ´ë°áÀý ÇÇÁú°ñ ¿¬°á¼º ¼Ò½ÇÀ» º¸ÀδÙ(±×¸² 6). ±ØÇ졂 Á¾´Ü¸é

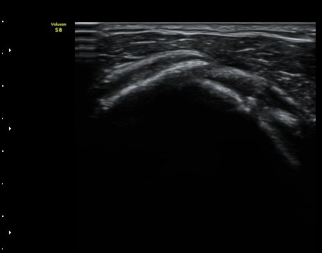
°Ë»ç»ó(±×¸² 7) ƯÀÌ ¼Ò°ßÀ» º¸ÀÌÁö ¾Ê´Â´Ù. ±Ø»ó°Ç Ⱦ´Ü¸é °Ë»ç»ó ±Ø»ó°ÇÀÇ ±ÙÀ§ºÎ¿¡¼­´Â

ƯÀÌ ¼Ò°ßÀ» º¸ÀÌÁö ¾ÊÀ¸³ª(±×¸² 8) ±Ø»ó°Ç ¸»´ÜºÎÀ§¿¡¼­ ´ë°áÀýÀÇ °ñ °áÇ̰ú ÇÇÁú°ñ ¿¬°á¼º

¼Ò½ÇÀ» º¸ÀδÙ(±×¸² 9, 10).


´Ü¼ø¹æ»ç¼±°Ë»ç


ÀÚ±â°ø¸í°Ë»ç


Ä¡·á



 


³Ñ¾îÁø ÈÄ ÆÈÀ» ¿Ã¸®Áö ¸øÇÏ´Â °æ¿ì ±Ø»ó°Ç ÆÄ¿­, ´ë°áÀý °ß¿­°ñÀý, ´Ü¼øÈ÷ ÅëÁõ¿¡ ÀÇÇÑ

±â´ÉÀå¾Ö¸¦ °¨º°Áø´ÜÇϱâ À§ÇØ ±Ù°ñ°Ý°è ÃÊÀ½ÆÄ°Ë»ç°¡ ÇʼöÀûÀÌ´Ù.

ÀÌÀü±Û ¾î±ú ´ë°áÀý °ß¿­ °ñÀý 2
´ÙÀ½±Û ¾î±ú°üÀý °ßºÀ¿À±¸µ¹±âÀÎ´ë ¾Æ·¡¿¡¼­ Ãæµ¿ÁõÈıº ÃÊÀ½ÆÄ ¼Ò°ß(Áõ·Ê 2)

 
       

 
°¡¸ÍÁ¡¸í : ½Ã¸®¾Ç½ºÁ¤ÇüÀÇÇבּ¸È¸
»ç¾÷ÀÚµî·Ï¹øÈ£ : 894-81-00627 | ´ëÇ¥ÀÚ : ÀåµÎÇõ
ÁÖ¼Ò : °æ±âµµ ¾çÆò±º ¿ë¹®¸é ¿ë¹®·Î 375-1, 2Ãþ 1È£
TEL : 010-2323-4055
E-mail : cyriax12@naver.com
 

 
COPYRIGHT ¨Ï 2018 CYRIAX. ALL RIGHTS RESERVED.