[¾î±ú] ¾î±ú°üÀý °ßºÀ¿À±¸µ¹±âÀÎ´ë ¾Æ·¡¿¡¼­ Ãæµ¿ÁõÈıº ÃÊÀ½ÆÄ ¼Ò°ß(Áõ·Ê 2)
ÀÛ¼ºÀÚ : °ü¸®ÀÚ 2013-01-27
÷ºÎÆÄÀÏ : [mix]IMG_20130124_1_4.avi [mix]IMG_20130125_1_11.avi

¼ºº° / ³ªÀÌ
³²/53


ÁÖÁõ»ó
¾î±úÀÇ ÅëÁõ


º´·Â


ÀÌÇÐÀû °Ë»ç


ÃÊÀ½ÆÄ °Ë»ç
Áõ·Ê 1)
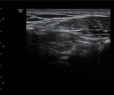
±Ø»ó°ÇÀÇ È¾´Ü¸é°Ë»ç¿Í Á¾´Ü¸é°Ë»ç¿¡¼­ ±Ø»ó°Ç³»¿¡ °í¿¡°í ¼®È¸È­ À½¿µÀÌ
°üÂûµÈ´Ü(»çÁø 1, 2).
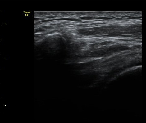
¾î±ú¸¦ 90µµ ¿ÜÀüÇÑ »óÅ¿¡¼­ À­ÆÈÀ» ³»È¸ÀüÇÏ´Ï °ßºÀ¿À±¸µ¹±â Àδ밡 Ç¥ÃþÀ¸·Î
ÀüÀ§µÈ´Ù(÷ºÎ ÆÄÀÏ µ¿¿µ»ó 1)


Áõ·Ê 2)
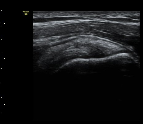
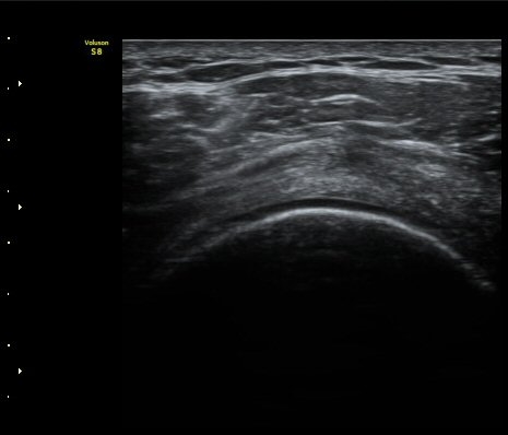
°ßºÀ¿À±¸µ¹±âÀδë Á¾´Ü¸é°Ë»ç¿¡¼­ ÀδëÀÇ ¿ÜÃø¿¡ ±¹¼ÒÀûÀÎ ÀÎ?ºñÈİ¡ °üÂûµÈ´Ù(»çÁø 3).
±Ø»ó°Ç Á¾´Ü¸é°Ë»ç½Ã ±Ø»ó°ÇÀÇ Ç¥Ãþ¿¡¼­ °üÂûµÇ´Â °ßºÀ¿À±¸µ¹±â Ⱦ´Ü¸é°Ë»ç»ó¿¡¼­
ÀδëÀÇ ºñÈİ¡ °üÂûµÈ´Ù(»çÁø 4). ±Ø»ê°ÇÀÇ Á¾´Ü¸é°Ë»ç¿Í Ⱦ´Ü¸é°Ë»ç¿¡¼­ ±Ø»ê°Ç ½ÉÃþ¿¡
Àú¿¡ÄÚ º´º¯ÀÌ °üÂûµÈ´Ù(»çÁø 5, 6).


´Ü¼ø¹æ»ç¼±°Ë»ç


ÀÚ±â°ø¸í°Ë»ç


Ä¡·á



 


¾î±ú Ãæµ¹ÁõÈıºÀº ¾î±ú ÅëÁõÀÇ Áß¿äÇÑ ¿øÀÎÀÌ¸ç ¶ÇÇÑ È¸Àü±Ù°³ÆÄ¿­ÀÇ Áß¿äÇÑ ¿øÀÎÀÌ´Ù.
Ãæµ¹ÁõÈıºÀÇ ¿øÀÎÀÎ »ÀÀÇ ºñÁ¤»óÀûÀÎ »óÅ ¶Ç´Â °ñ±Ø, ¿¬ºÎÁ¶Á÷ÀÇ º´º¯, ¾î±ú°üÀýÀ̳ª

°ß°©Èä°û°üÀýÀÇ ºñÁ¤»óÀûÀÎ ¿îµ¿±âÀü µîÀÌ Á¦±âµÈ´Ù.

Ãæµ¹ÁõÈıºÀº Ãæµ¹ÀÌ ¹ß»ýÇÏ´Â ºÎÀ§¿¡ µû¶ó °ßºÀ, °ßºÀ¿À±¸µ¹±âÀδë, °ßºÀ¼â°ñ°üÀýÀÌ

»ó¿Ï°ñµÎ¿Í Ãæµ¹ÇÏ´Â ¿ÜºÎÃæµ¿ÁõÈıº(external impingement)¿Í ȸÀü±Ù°³ ½ÉºÎ°¡

°üÀý¼øÀ̳ª °üÀý¿Í¿Í Ãæµ¿ÇÏ´Â ³»ºÎÃæµ¹ÁõÈıº(internal impingement)·Î ºÐ·ùµÈ´Ù.
Ãæµ¹ÁõÈıºÀÇ ÀÌÇÐÀû°Ë»ç, ´Ü¼ø¹æ»ç¼±ÃÔ¿µ, ÀÚ±â°ø¸í°Ë»ç, ÃÊÀ½ÆÄ°Ë»ç¸¦ ½ÃÇàÇÏ¿©
Áø´ÜÀ» ÇÏ°Ô µÇ´Âµ¥ ÃÊÀ½ÆÄ°Ë»ç´Â ¿¬ºÎÁ¶Á÷ÀÇ º´º¯À̳ª º¯È­¸¦ Æò°¡Çϴµ¥ ¸Å¿ì

À¯¿ëÇÏÁö¸¸ Ãæµ¹ÁõÈıºÀÇ ¿øÀÎÀ» ±Ô¸íÇϴµ¥¿¡´Â ¾î·Á¿òÀÌ ÀÖ´Ù. ±×·¯³ª ¾î±ú ¿ÜÃø¿¡

ŽÃËÀÚ¸¦ ´ë°í ¼öµ¿ÀûÀÎ ¾î±ú°üÀý ¿ÜÀü ½Ã °ßºÀ¿ÜÃø¿¡ ¼ö¾×ÀÌ Àú·ùµÇ°Å³ª Á¡¾×³¶ÀÌ

ÃàÀûµÇ´Â ¾ç»óÀ» °üÂûÇÒ ¼ö ÀÖ¾î ÀÏºÎ Ãæµ¹ÁõÈıº ¸ð¾çÀ» °üÂûÇϴµ¥ À¯¿ëÇÏ´Ù.

ÃÖ±Ù¿¡´Â ¿À±¸µ¹±â¿Í ¼Ò°áÀý »çÀÌÀÇ °Å¸®¸¦ ÃøÁ¤ÇÏ¿© ¿À±¸µ¹±â ¾Æ·¡¿¡¼­ Ãæµ¹ÁõÈıº

Áø´ÜÀ» ½ÃµµÇÏ´Â º¸°í¿Í ¾î±ú 90µµ ¿ÜÀü »óÅ¿¡¼­ ¼öµ¿ÀûÀ¸·Î ³»È¸ÀüÀ» ½ÃŰ¸é¼­

°ßºÀ¿À±¸µ¹±âÀδëÀÇ ¿ÜÃøÀ¸·Î À̵¿ Á¤µµ¸¦ ÆÄ¾ÇÇÏ¿© °ßºÀ¿À±¸µ¹±âÀÎ´ë ¾Æ·¡¿¡¼­

Ãæµ¹ÁõÈıºÀ» Áø´ÜÇÏ´Â º¸°í°¡ ÀÖ´Ù.

Chueh µîÀº °ßºÀ¿À±¸µ¹±âÀδëÀÇ Æò±Õ µÎ²²´Â 1 mmÀ̰í Ãæµ¹ÁõÈıºÀÌ ÀÖ´Â Ãø¿¡¼­

°ßºÀ¿À±¸µ¹±âÀδ밡 0.4mm ´õ ¿ÜÃøÀ¸·Î ÀüÀ§¸¦ º¸ÀÎ´Ù°í º¸°íÇÏ¿´´Ù.
º» µÎ Áõ·Ê´Â ¼®È¸È­¼º°ÇÃÊ¿°°ú ±Ø»ó°ÇÃÊ¿°À» º¸ÀÌ´Â º» Áõ·Ê´Â ÀÓ»óÀûÀ¸·Î Ãæµ¹ÁõÈıº

¾ç»óÀ» º¸¿´°í ¿ÜÀü ÈÄ ³»È¸Àü°Ë»ç¿¡¼­ °úµµÇÑ °ßºÀ¿À±¸µ¹±âÀÎ´ë ¿ÜÃø ÀüÀ§¸¦ º¸¿©

°ßºÀ¿À±¸µ¹±âÀÎ´ë ¾Æ·¡¿¡¼­ Ãæµ¹ÁõÈıº ¼Ò°ß°ú ºÎÇÕÇÏ¿© º¸°íÇÏ´Â ¹ÙÀÌ´Ù.

ÇâÈÄ ¾î±úÀÇ ÃÊÀ½ÆÄ°Ë»ç ½Ã ȯÀÚÀÇ Áõ»óÀ̳ª ÀÌÇÐÀû°Ë»ç ¼Ò°ß¿¡ µû¶ó ´Ù¾çÇÑ ¹æ¹ýÀ¸·Î

°Ë»ç¸¦ ½ÃÇàÇØ¾ß ÇÒ °ÍÀ¸·Î ÆÇ´ÜµÈ´Ù.



Âü°í¹®Çå

1) Wu CH, Chang KV, Su PH, Kuo WH, Chen WS, Wang TG. Dynamic ultrasonography
   to evaluate coracoacromial ligament displacement during motion in shoulders
   withsupraspinatus tendon tears. J Orthop Res. 2012 Sep;30(9):1430-4.

http://www.ncbi.nlm.nih.gov/pubmed/22331746

2: Wu CH, Wang YC, Wang HK, Chen WS, Wang TG. Evaluating displacement of the
   coracoacromial ligament in painful shoulders of overhead athletes through dynamic
   ultrasonographic examination. Arch Phys Med Rehabil. 2010 Feb;91(2):278-82.

http://download.journals.elsevierhealth.com/pdfs/journals/0003-9993/PIIS0003999309008946.pdf


3. Reduced Displacement of Coracoacromial Ligaments During Shoulder Motion in the Aged: Evaluation by Ultrasonography

https://download.journals.elsevierhealth.com/pdfs/journals/0929-6441/PIIS0929644110600173.pdf

 


 

ÀÌÀü±Û ¾î±ú ´ë°áÀý °ß¿­ °ñÀý
´ÙÀ½±Û ü¿ÜÃæ°ÝÆÄ Ä¡·á ÈÄ ¼Ò½ÇµÈ ´ëÅðÁ÷±Ù ±â½ÃºÎ ¼®È¸È­(¼®È¸È­¼º °ÇÃÊ¿°)

 
       

 
°¡¸ÍÁ¡¸í : ½Ã¸®¾Ç½ºÁ¤ÇüÀÇÇבּ¸È¸
»ç¾÷ÀÚµî·Ï¹øÈ£ : 894-81-00627 | ´ëÇ¥ÀÚ : ÀåµÎÇõ
ÁÖ¼Ò : °æ±âµµ ¾çÆò±º ¿ë¹®¸é ¿ë¹®·Î 375-1, 2Ãþ 1È£
TEL : 010-2323-4055
E-mail : cyriax12@naver.com
 

 
COPYRIGHT ¨Ï 2018 CYRIAX. ALL RIGHTS RESERVED.